






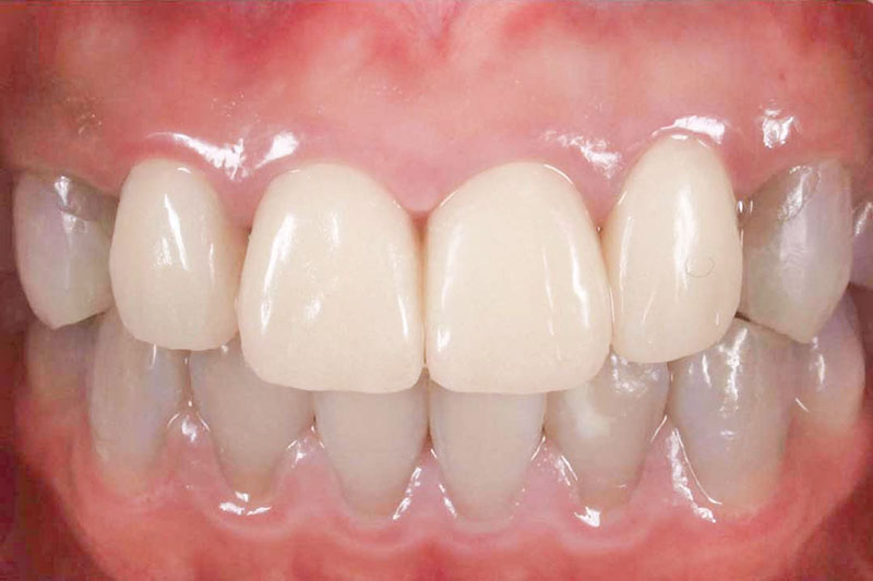
| 治療方法 | ホワイトニング、ラミネートベニア、ジルコニア |
|---|---|
| 治療回数・期間 | 6回 |
| 費用 | 約814,000円(税込) |
| 治療リスク | ホワイトニング処置中にしみることがあります。 |
| 治療説明 | 「特に上の歯茎が腫れ、下の歯が黒くて気になる」との事でご来院頂きました。 被せ物が歯に合っていないことによる腫れと、被せ物の不良が認められた為、一度、被せ物を外し、歯に合った仮歯を作り歯茎の腫れを抑える治療を行いジルコニアを被せましたました(前歯4本)。 その後、ホワイトニングで歯全体を白くし、奥の2本(犬歯)にラミネートベニア(セラミック製の付け爪のような薄い人工歯)を取り付けました。 |