審美歯科

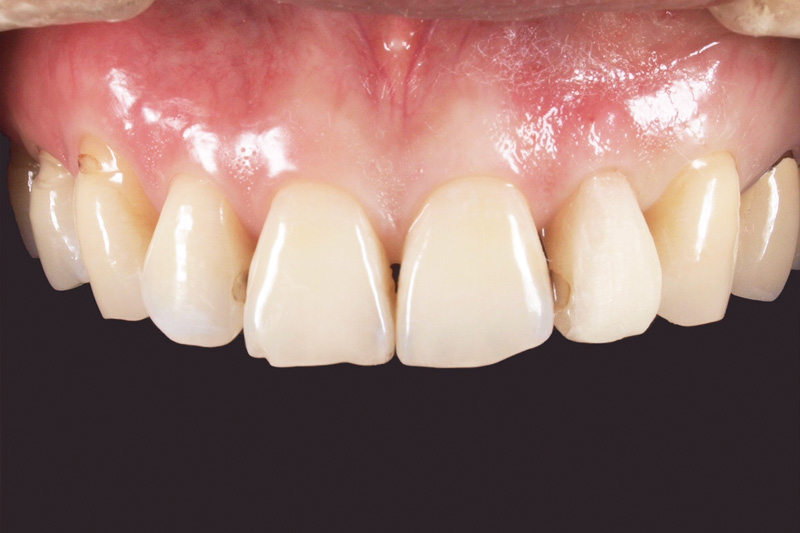
症例紹介「歯の変色と欠けた状態を修復」

治療の流れについて

治療方法 ラミネートベニアによる歯の修復
治療回数・期間 3回
費用 約132,000円(税込)
治療リスク 定期的なメンテナンスが必要です。
治療説明

歯の形と色が気になるとのご相談でご来院されました。お話を伺いながら歯を削らず、その場で仕上がりイメージを掴んで頂きました。

その後、歯の色合わせを行い、ラミネートベニアを取り付けました。