インプラント治療は通常の歯科治療と比べ、感染のないクリーンな環境で行うことが求められること、スタッフの人数も通常の治療より多いため、当医院ではスペースが広くより衛生的なオペ室を設けています。また、患者さまがご使用になるユニットにはドイツ シロナ製ユニット採用しました。人間工学と高快適性シートにより体への負担を軽減し治療に専念して頂けます。
インプラント専用オペ室
ゆったりとした落ち着きのあるオペ室です。
液晶モニター
CT分析画像を表示して詳しくご説明いたします。
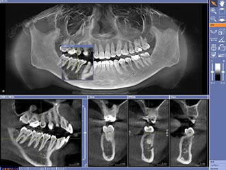
従来のレントゲンでは平面的な撮影しか行うことができず、骨の様子などが詳しく分かりませんでした。しかし、CTスキャンでは3D撮影が可能ですので、インプラントを埋め込む際に必要な、正確な骨の形状・神経や血管の位置などが詳細に分かることで、安全なインプラント治療が可能になります。
レントゲン撮影
正面からの様子しか分かりません。
CT撮影
立体的に様々な角度から詳しく見ることができます。
CT撮影 横断面
神経や骨の様子が詳しく分かります。
CT撮影 上断面
歯の間隔を詳しく見ることができます。
CT撮影したデータと口腔内を象りして作られた模型を合成することで、詳細な分析が可能となり顎骨や骨の密度の把握、治療前に担当医が3D上でインプラントの仮置きシミュレーションができるため安全性だけではなく完成度の高い治療が可能になります。
iCAT分析ソフト
多角的な分析が可能です。
シミュレーション操作1
インプラントを埋め込み様々な角度から確認します。
シミュレーション操作2
埋め込み角度や深さを診断します。
骨密度確認パネル
骨の深さに別に硬さ・密度が把握できます。
院内感染を防ぐために当医院では、使用する器具は外科手術で行われている規格に準じる最高峰の滅菌器を使用し滅菌・消毒を行っています。滅菌後は滅菌パックで保護され治療直前まで空気に触れることの無い安全で清潔な状態を保ちます。
ジェットウオッシャー(自動洗浄器)
100度の熱湯で40分かけ、手洗いでは
行き届かない部分まで徹底的洗浄・除菌します。
オートクレーブ減菌器
内部が細く洗浄が難しい構造になっている
タービンを隅々まで洗浄・殺菌が行なえます。
高圧蒸気滅菌器
蒸気を細部の奥まで行き渡らせ、隅々まで
滅菌を行うことが出来ます。
使用する器具は菌パックで保護
治療直前まで滅菌パックで保護され
清潔な状態で使用します。
現在、インプラント製造メーカーは何十社とあり価格に幅があります。安さを優先し低価格品を選ぶのは簡単です。
しかし、口腔内に埋め込み長期にわたり噛むという負担が掛かる箇所に使用するからこそ、 安さよりも安全性を第一に考え、当医院では世界で最大級の症例・本数の実績があるストローマンを採用しています。















